Overblog Tous les blogs Top blogs Entreprenariat Tous les blogs Entreprenariat
Editer l'article Suivre ce blog Administration + Créer mon blog
MENU

En droit pénal français, le délit de harcèlement est défini comme une conduite abusive systématique qui porte atteinte à la dignité.

03 Jul

IRM

Publié par bazenet / msn  - Catégories :  #IRM

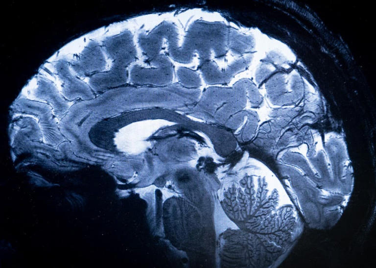
"De nouvelles perspectives pour la recherche": un puissant IRM donne des images d'une puissance inédite
Un IRM d'une puissance 1,5 à 3 fois plus puissant que la normale offre des images d'une meilleure résolution. Des chercheurs du Commissariat à l'énergie atomique espèrent grâce à cet outil mieux comprendre les maladies du cerveau de l'enfant.

Un cerveau capturé par l'IRM Iseult au CEA, à Gif-sur-Yvette, dans l'Essonne, le 22 mars 2024 (ILLUSTRATION)

Un cerveau capturé par l'IRM Iseult au CEA, à Gif-sur-Yvette, dans l'Essonne, le 22 mars 2024 (ILLUSTRATION)© Alain JOCARD / AFP

Des images du cerveau d'un enfant de six ans d'une précision inédite: des chercheurs du Commissariat à l'énergie atomique (CEA) espèrent, grâce à une innovation technologique, mieux comprendre les troubles du neurodéveloppement et les maladies du cerveau de l'enfant.

Installé depuis 2007 dans un centre de recherche du CEA (Neurospin), sur le plateau de Saclay (Essonne), le puissant IRM qui a produit ces clichés livre déjà des images du cerveau adulte. Adapter cette technologie pour l'utiliser chez l'enfant et obtenir le feu vert des autorités sanitaires pour cet usage a pris plusieurs années de recherche et de développement, ont expliqué les chercheurs mercredi lors d'une conférence de presse.

Pour le Dr. David Germanaud, neuropédiatre à l'Institut Robert-Debré du cerveau de l'enfant et chercheur au CEA, il s'agit d'une "première mondiale à ce niveau de technicité des images et de garantie de sécurité".

Un IRM 1,5 à 3 fois plus puissant

Grâce à une meilleure résolution des images et à des contrastes accrus, cet IRM à sept Teslas (unité de mesure nommée en l'honneur du physicien serbe Nikola Tesla) contre 1,5 ou 3 pour les IRM qu'on trouve à l'hôpital dédié à la recherche, permet de voir "les détails fins du cerveau, la vascularisation, le métabolisme cérébral... et son activité à l'échelle individuelle", a-t-il précisé.

Le but est de mieux comprendre les troubles du neurodéveloppement et des maladies du cerveau de l'enfant.

"Chez les enfants concernés, très affectés dans leur fonctionnement cognitif et dont le cervelet est trop petit, nous avons montré que les régions du cervelet les plus atteintes étaient des régions plutôt impliquées dans le fonctionnement moteur", a encore expliqué le Dr. David Germanaud.

Repérer certaines pathologies plus tôt

Ainsi au niveau du cortex cérébral, "il peut y avoir des petites malformations responsables de certaines épilepsies de l'enfant: quand on les repère tôt, on peut, chez certains d'entre eux, proposer une chirurgie, on enlève la lésion et on guérit l'épilepsie, et plus on le fait tôt, mieux c'est", a détaillé le Dr. David Germanaud.

Cette avancée de l'imagerie ouvre, selon lui, "de nouvelles perspectives pour la recherche sur les troubles du neurodéveloppement et les maladies du cerveau de l'enfant".

Autre exemple d'application: mieux comprendre "une autre maladie du développement, celle causée par l'exposition prénatale à l'alcool".

"Ces enfants-là peuvent avoir des signes physiques, ce qu'on appelle le 'syndrome d'alcoolisation foetale', mais parfois ils n'en ont pas, mais quoi qu'il en soit l'alcool a perturbé leur développement cérébral", a expliqué le neuropédiatre. "On s'est rendu compte que leur cervelet pouvait être mal formé", a-t-il précisé.

Un projet de recherche sur 3 ans

Aussi "le décryptage du développement des capacités cognitives et des apprentissages va pouvoir s'envisager beaucoup plus à l'échelle individuelle", selon les chercheurs.

Ces derniers vont notamment mener un projet de recherche de trois ans qui étudiera le cervelet et le cortex cérébral d'une centaine d'enfants - divisés en trois groupes d'une trentaine d'individus.

Le premier sera composé d'enfants ayant une épilepsie, le deuxième d'enfants souffrant d'un trouble causé par l'alcoolisation foetale, et le dernier sera un groupe contrôle, permettant d'étudier le développement sain du cervelet.

Commenter cet article

À propos

En droit pénal français, le délit de harcèlement est défini comme une conduite abusive systématique qui porte atteinte à la dignité.